 Fig 2.01: Opbouw van de bloedsomloop
atrium dextrum (RA)
atrium sinistrum (LA)
ventriculus dexter (RV)
ventriculus sinister (LV)
|
 Sobotta: Fig 1.50
|
 Fig 2.02: Schematische opbouw van het hart
atrium dextrum (RA)
atrium sinistrum (LA)
ventriculus dexter (RV)
ventriculus sinister (LV)
aorta
vv. cavae (x2)
truncus pulmonalis
vv. pulmonales (x4)
valva tricuspidalis
valva mitralis
septum interatriale (IAS)
septum interventriculare (IVS)
septum atrioventriculare (AVS)
|
N/A |
 Fig 2.03: Ligging van het hart in het mediastinum
-
diaphragma
centrum tendineum
pars muscularis
costae
sternum
columna vertebralis
basis (cordis)
apex (cordis)
|
 |
 Fig 2.04: Facies van het hart
Doorsnede van anterior-rechts naar posterior-links
-
diaphragma
centrum tendineum
pars muscularis
margo dexter = margo acutus
margo obtusus = facies pulmonalis
facies anterior = facies sternocostalis
facies diaphragmatica
(lamina visceralis)
(lamina parietalis)
|
 |
 Fig 2.05a: Facies sternocostalis (schematisch)
atria
ventriculus dexter (VD)
ventriculus sinister (VS)
apex (in ventriculus sinister)
basis
-
sulcus coronarius
sulcus interventricularis anterior
aorta (rood)
tr. pulmonalis (paars)
|
 |
 Fig 2.05b: Facies sternocostalis
ventriculus dexter (VD)
ventriculus sinister (VS)
sulcus coronarius
sulcus interventricularis anterior
aorta
tr. pulmonalis
auricula dextra = rechter hartoor
auricula sinistra = linker hartoor
v cava superior (VCS)
v cava inferior (VCI)
|
zie 2.05a |
 Fig 2.05c: Facies sternocostalis (doorsnede)
atrium dextrum (RA)
atrium sinistrum (LA)
aorta
tr. pulmonalis
auricula dextra = rechter hartoor
auricula sinistra = linker hartoor
|
 |
 Fig 2.06: Facies diaphragmatica
ventriculus dexter (RV)
ventriculus sinister (LV)
sulcus coronarius
sulcus interventricularis posterior
v cava superior (VCS)
v cava inferior (VCI)
vv pulmonales
|
 |
 Fig 2.07: Schema pericard
pericardium fibrosum (paars)
-
pericardium serosum (cyaan)
lamina visceralis = epicardium
lamina parietalis
cavum pericardii = cavitas pericardiaca
|
 Grays: Fig 3.59
|
 Fig 2.08: Lagen pericard
-
diaphragma
centrum tendineum
pars muscularis
pericardium fibrosum (paars)
-
pericardium serosum
lamina visceralis = epicardium (cyaan)
lamina parietalis (geel)
cavum pericardii = cavitas pericardiaca
pericardvocht
|
 |
 Fig 2.09: Omslagplooien van het pericard
-
T-vormige omslagplooi
aorta
truncus pulmonalis
vena cava superior
vena cava inferior
vv pulmonales
sinus obliquus pericardii
sinus transversus pericardii
|
 |
 Fig 2.10: Histologische kenmerken van het pericard
vetcellen (vooral t.h.v. sulci)
kransslagader / capillair
losmazig bindweefsel
-
lamina visceralis = epicardium
cavum pericardii
-
lamina parietalis
-
pericardium fibrosum
|
N/A |
 Fig 2.11: Fibreus skelet (1)
Achteraanzicht
Zorgt voor elektrische vertraging tussen atria en ventrikels.
-
anulus van aorta klep
posterior -> non-coronaire cusp
linker -> a. coronaria sinistra
rechter -> a. coronaria dextra
-
anulus van valva mitralis
trigonum fibrosum dextrum
trigonum fibrosum sinistrum
aorto-mitraal-continuiteit = subaortic curtain
- hierop ontstaat cuspis anterior (= anterior leaflet) van valva mitralis
|
 |
 Fig 2.12: Fibreus skelet (2)
anulus van aorta klep
anulus van valva mitralis
anulus van valva tricuspidalis
trigonum fibrosum dextrum
trigonum fibrosum sinistrum
aorto-mitraal-continuiteit = subaortic curtain
membraneus septum (zie ook Fig 2.27)
AV knoop (atrio-ventriculaire geleiding: enige doorgang)
|
zie 2.11 |
 Fig 2.13: Fibreus skelet (3)
-
anulus van valva trunci pulmonalis
-
infundibulair ligament = conus ligament
anulus van aorta klep
anulus van valva mitralis
anulus van valva tricuspidalis
trigonum fibrosum dextrum
trigonum fibrosum sinistrum
aorto-mitraal-continuiteit = subaortic curtain
membraneus septum
|
 |
 Fig 2.14: Septum schematisch
septum interatriale (IAS)
-
septum interventriculare (IVS)
septum atrioventriculare (AVS)
|
N/A |
 Fig 2.15: Algemene opbouw ventrikel
trabeculae carneae
-
ostium atrioventriculare
valva tricuspidalis (3 cuspides)
valva mitralis (2 cuspides)
-
ostium arteriosum
ostium trunci pulmonalis met valva trunci pulmonalis (3 valvulae semilunares)
ostium aortae met valva aortae (3 valvulae semilunares)
|
 |
 Fig 2.16: Opbouw ventrikel binnenwand
m papillaris
chordae tendineae
cuspis (paars)
|
 |
 Fig 2.17: Opbouw ventriculus dexter, korte as doorsnede
margo dexter = margo acutus
ventriculus dexter (dunne wand)
ventriculus sinister (dikke wand)
m papillaris anterior
m papillaris posterior
m papillaris septalis
trabeculae carneae
|
 |
 Fig 2.18: Ventriculus dexter, lange as doorsnede
inflow via valva tricuspidalis
-
outflow via valva trunci pulmonalis
crista supraventricularis (rode bol)
-
trabecula septomarginalis = moderator band
-
conus arteriosum = infundibulum = outflow tract (geel)
chordae tendineae
trabeculae carneae
m papillaris
|
 |
 Fig 2.19: Basis van het hart
valva aortae
-
valva trunci pulmonalis
valvula semilunaris anterior
valvula semilunaris sinistra
valvula semilunaris dextra
valva mitralis
-
valva tricuspidalis
membraneus septum
|
 |
 Fig 2.20: Valva tricuspidalis - opbouw
cuspis
anulus
chordae tendineae
m papillaris
ventriculus dexter
crista supraventricularis (rode bol)
|

|
 Fig 2.21: Valva trunci pulmonalis
A overzicht
crista supraventricularis (rood)
wand ventriculus dexter (rood)
sino-tubulaire junctie
-
bulbus
sinus tr. pulmonalis anterior
sinus tr. pulmonalis dexter
sinus tr. pulmonalis sinister
B doorsnede
valvula semilunaris (cyaan)
commissura semilunaris (t.h.v. sino-tubulaire junctie)
nadir (t.h.v. overgang naar ventrikel)
interleaflet triangle
-
lunula (valvulae semilunaris)
C bovenaanzicht
-
nodulus van Arantzius
|
 |
 Fig 2.22: Ventriculus sinister, korte as doorsnede
ventriculus dexter
ventriculus sinister
margo obtusus = facies pulmonalis
facies sternocostalis
facies diaphragmatica
sulcus interventricularis anterior
sulcus interventricularis posterior
m papillaris anterior
m papillaris posterior
|
 |
 Fig 2.23: Ventriculus sinister, lange as doorsnede
-
inflow via valva mitralis
cuspis anterior
cuspis posterior
-
outflow via valva aortae
subaortic curtain
m papillaris anterior
m papillaris posterior
chordae tendineae
|
 |
 Fig 2.24: Basis van het hart
-
valva aortae
-
valvula semilunaris posterior
-
valvula semilunaris sinistra
-
valvula semilunaris dextra
-
valva trunci pulmonalis
valvula semilunaris anterior
valvula semilunaris sinistra
valvula semilunaris dextra
-
valva mitralis
cuspis anterior ("deur")
cuspis posterior ("deurkader")
commissura anterior (cf. m. papillaris)
commissura posterior (cf. m. papillaris)
-
valva tricuspidalis
cuspis septalis
cuspis anterior
cuspis posterior
trigonum fibrosum sinistrum
trigonum fibrosum dextrum
|
 |
 Fig 2.25a: De mitralisklep - opbouw (bovenaanzicht)
anulus
cuspis anterior = anterior leaflet
-
cuspis posterior = posterior leaflet
commissura anterior
commissura posterior
|
zie 2.24 |
 Fig 2.25b: De mitralisklep - opbouw (onderaanzicht, doorsnede)
anulus
cuspis anterior
cuspis posterior
m papillaris anterior
-
m papillaris posterior
-
chordae tendineae
primaire = marginale chordae -> aan rand
secundaire = intermediaire chordae -> in midden
tertiaire = basale chordae -> naar anulus
|
 |
 Fig 2.26: De aortaklep - opbouw
A bovenaanzicht
-
valva aortae
-
valvula semilunaris posterior
-
valvula semilunaris sinistra
-
valvula semilunaris dextra
noduli valvularum aortae = noduli van Arantzius
B doorsnede
-
sinus aortae posterior
sinus aortae dexter
sinus aortae sinister
commissura (x3)
interleaflet triangle (x3, behoort tot ventrikel)
sino-tubulaire junctie
basale ring
nadir
trigonum fibrosum dextrum
trigonum fibrosum sinistrum
cuspis anterior van valva mitralis (paars)
subaortic curtain (cyaan, voor interleaflet triangle?)
C overzicht
sino-tubulaire junctie
bulbus (drie sinussen samen)
noduli valvularum aortae = noduli van Arantzius
|
 |
 Fig 2.27: Septum interventriculare
A doorsnede ventrikels
valva tricuspidalis
valva mitralis
septum interatriale (IAS)
-
septum interventriculare (IVS)
septum atrioventriculare (AVS)
B doorsnede aortaklep
-
valva aortae
-
valvula semilunaris posterior
-
valvula semilunaris sinistra
-
valvula semilunaris dextra
cuspis anterior van valva mitralis (groen)
subaortic curtain (groen)
cuspis septalis ("leaflet") van valva tricuspidalis
-
membraneus septum (paars)
atrio-ventriculaire geleiding (geel)
|
 |
 Fig 2.28: Atrium dextrum
vena cava superior (VCS)
vena cava inferior (VCI)
auricula dextra (= oorspronkelijk atrium dextrum)
crista terminalis (binnenzijde)
sulcus terminalis (buitenzijde)
mm pectinati (ruw, rest binnenwand is glad)
(sinus venarum cavarum: glad, opgeslokt deel v. cava)
septum interatriale (IAS)
-
fossa ovalis (cyaan)
limbus (fossae ovalis): craniaal en ventraal van fossa ovalis
|
 |
 Fig 2.29: Foramen ovale tijdens prenatale leven
auricula dextra
auricula sinistra
aorta
tr. pulmonalis
atrium dextrum
-
atrium sinistrum
foramen ovale
-
ductus arteriosus = ductus van Botalli
|
 |
 Fig 2.30: Atrium dextrum - gedetailleerd
vena cava superior (VCS) via ostium venae cavae superioris
vena cava inferior (VCI) via ostium venae cavae inferioris
diaphragma, centrum tendineum
sulcus terminalis
valvula venae cavae inferioris = klep van Eustachius (donkergroen, achteraan rond uitmonding VCI)
fossa ovalis (groen)
limbus (paars)
ostium sinus coronarii
valvula sinus coronarii = klep van Thebesius
cuspis septalis van valva tricuspidalis
tendon van Todaro (cyaan)
driehoek van Koch (geel)
membraneus septum
foramina venarum minimarum: drainage van vv cordis minimae
tuberculum intervenosum
|
 |
 Fig 2.31: Atrium sinistrum
auricula sinistra
mm pectinati (ruw)
vv pulmonales via ostia venarum pulmonalium (4x)
falx septi = valvula foraminis ovalis
|
 |
 Fig 2.32: Ligging SA knoop
A bovenaanzicht
aorta (Ao)
vena cava superior (VCS)
vena cava inferior (VCI)
centrum tendineum
auricula dextra
sulcus terminalis
-
nodus sinu-atrialis (SA) = sinusknoop (geel)
B doorsnede van rechts bekeken
vena cava superior (VCS)
vena cava inferior (VCI)
centrum tendineum
auricula dextra
sulcus terminalis
nodus sinu-atrialis (SA) = sinusknoop (geel)
|
 |
 Fig 2.33a: Ligging AV knoop, bundle van Hiss, en bundeltakken
membraneus septum
nodus atrioventricularis (AV)
bundle van His
-
crus dextrum
-
crus sinistrum
bandvormig
gelijkaardig verloop
Purkinje vezels (rood)
|
 |
 Fig 2.33b: Ligging AV knoop, bundle van Hiss, en bundeltakken
ostium venae cavae inferior
ostium sinus coronarii
-
valva tricuspidalis
cuspis septalis
cuspis anterior
cuspis posterior
Tendon van Todaro (cyaan)
driehoek van Koch (geel)
membraneus septum
nodulus atrioventricularis (AV)
|
 |
 Fig 2.33c: Ligging AV knoop, bundle van Hiss, en bundeltakken
cf. Fig 2.12
anulus van aorta klep
anulus van valva mitralis
anulus van valva tricuspidalis
trigonum fibrosum dextrum
trigonum fibrosum sinistrum
aorto-mitraal-continuiteit = subaortic curtain
membraneus septum (groen)
nodulus atrioventricularis (rood)
|
 |
 Fig 2.34: Algemene opbouw lagen
epicardium = lamina visceralis van pericardium serosum (paars)
myocardium (rood)
-
endocardium (groen)
fibreus weefsel (zwart)
|
 |
 Fig 2.35: Histologie endocard
endotheel
-
sub-endotheliale laag (=? sub-endocardiale laag)
losmazig bindsweefsel
bloedvaten
geleiding (Purkinje)
fibroblasten
|
 |
 Fig 2.36: Histologie epicard
epicardiun = lamina visceralis van pericardium serosum
mesotheel = eenlagig squameus epitheel
-
sub-mesotheliale laag
losmazig bindweefsel
bloedvaten
vetcellen: subepicardiale vet
takjes van autonoom zenuwstelsel
|
 |
 Fig 2.37: Histologie myocard
cardiomyocyten (verschillende orientaties)
lijkt op gestreepte spiercellen
1-4 kernen (meestal 1-2)
-
intercalated disk
fascia adherens
desmosomen (horizontaal)
gap junctions (verticaal, groen, ionenstransport)
T-tubulus
endomysium = losmazig bindweefsel + bloedvaten
B zoom in
-
intercalated disk
fascia adherens
desmosomen (zwarte x)
gap junctions (groene x)
mitochondria
actine
myosine
sarcoplasmatisch reticulum (paars)
T-tubulus
C actine-myosine
actine
troponine
myosine
Ca2+ uit sarcoplasmatisch reticulum
tropomyosine
|
 |
 Fig 2.38: Opbouw van het myocard schijnbaar in lagen
A atria - twee lagen
atria dextrum (RA)
atria sinistrum (LA)
ventriculus dexter
ventriculus siniter
diepe laag (cyaan)
oppervlakkige laag (groen)
structuren van fibreuze skelet
B ventriculi - drie lagen
ventriculus dexter
ventriculus sinister
laag 1: beide ventrikels (groen)
laag 2: per ventrikel (paars)
laag 3: beide ventrikels, loodrecht op laag 1 (cyaan)
-
acties
radiair
longitudinaal
-
spiraal
|
 |
 Fig 2.39: Histologische opbouw hartklep
-
bovenaan
atrium bij atrio-ventriculaire klep (i.e., valva mitralis of valva tricuspidalis)
aorta bij aortaklep
tr. pulmonalis bij pulmonalisklep
-
onderaan
ventriculaire zijde
lamina ventricularis: dens bindsweefsel (rood, loopt verder in chordae tendineae)
lamina fibrosa: dens bindweefsel (groen, link met fibreuze skelet, collageen)
lamina spongiosa: losmazig bindweefsel (cyaan, elastine, demping)
bekleed met endotheel (link met endocard)
|
 |
 Fig 2.40: Ultrastructuur Purkinjevezel
gespecialiseerde cardiomyocyten
-
proximaal
klein
onregelmatig
contractiel materiaal verspreid (rood)
kern (zwart)
mitochondria (oranje)
-
distaal (Purkinje)
~= cardiomyocyten
contractiel materiaal aan rand
kern centraal
heldere zone rond kern a.g.v. glycogeen
geen intercalated disks
wel gap junctions = nexus verbindingen
|
 |
 Fig 2.41: Rechts-dominant coronair systeem
want a coronaria dextra > r interventricularis posterior loopt in sulcus interventricularis posterior
A anterior (facies sternocostalis)
auricula sinistra
auricula dextra
ventriculus dexter
ventriculus sinister
tr. pulmonalis
aorta
sulcus coronarius
sulcus interventricularis anterior
a coronaria dextra
a coronaria sinistra ("linkse hoofdstam")
a coronaria sinistra > r interventricularis anterior = left anterior descendens (LAD)
a coronaria sinistra > r interventricularis anterior > r diagonalis (aantal varieert)
a coronaria sinistra > r circumflexa ("circumflex")
a coronaria sinistra > r circumflexa > r lateralis (aantal varieert)
a coronaria sinistra > r intermedius = r angularis (variatie)
B inferior (facies diaphragmatica)
ventriculus dexter
ventriculus sinister
sulcus interventricularis posterior
a coronaria dextra > r interventricularis posterior = posterior descendens (PD)
a coronaria sinistra > r circumflexa > r infrolateralis
C doorsnede
ventriculus dexter
ventriculus sinister
sulcus interventricularis anterior
sulcus interventricularis posterior
[A] a coronaria sinistra > r interventricularis anterior > r diagonalis
[B] a coronaria sinistra > r circumflexa > r lateralis
[C] a coronaria sinistra > r circumflexa > r infrolateralis
|
   Doorsnede
|
 Fig 2.42: Links-dominant coronair systeem
cf. Fig 2.41
A anterior (facies sternocostalis)
B inferior (facies diaphragmatica)
a coronaria dextra > geen ramus
a coronaria sinistra > r circumflexa > r interventricularis posterior
C doorsnede
|

|
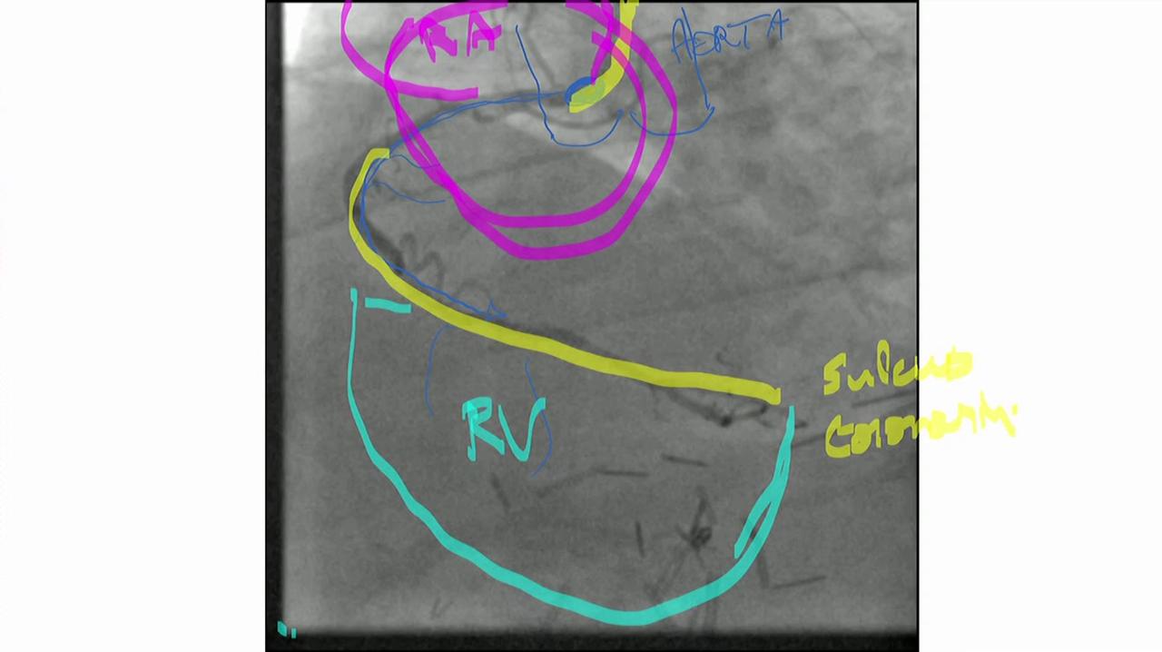
 Interactieve les - a. coronaria dextra
aorta
atriun dextrum (RA)
ventriculus dexter (RV)
sulcus coronarius
|
 Interactieve les - a. coronaria dextra
atriun dextrum (RA)
ventriculus dexter (RV)
ventriculus sinister (LV)
a coronaria dextra, r. interventricularis posterior (rood)
|
 Interactieve les - a. coronaria sinistra
aorta (groen)
atrium sinistrum (LA)
ventriculus sinister (LV)
apex
a coronaria sinistra (= hoofdstam, ~2.5cm)
-
r interventricularis anterior in sulcus interventricularis anterior
rr septales
rr diagonales
-
r circumflexa in sulcus coronarius
rr laterales
r inferolateralis
r intermedius = r angularis (soms aanwezig)
|
 Interactieve les - a. coronaria sinistra - vernauwing
apex
basis
r interventricularis anterior
r circumflexa
rr laterales
sulcus interventricularis posterior (geel onderaan, geen contrast want rechts-dominant)
|
 Fig 2.43: Veneuze drainage van het hart
sulcus coronarius
sulcus interventricularis anterior
sulcus interventricularis posterior
-
vv cordis anteriores
-
vv cordis minimae
-
sinus coronarius (cyaan)
-
v cordis magna
-
v cordis media
-
v cordis parva
v posterior ventriculi sinistri
v obliqua atrii sinistri
|

|
 Fig 2.44: Innvervatie van het hart
aorta
tr. pulmonalis
plexus cardiacus
hersenstam: medulla oblonggata
-
parasympatisch
-
orthosympatisch (t.h.v. T5-T6)
cardio-accelerator centrum
interneuron: verbinding tussen para- en orthosympatisch zenuwstelsel
|
 |